1. Health, Hemorheology and Microcirculation
Este é o primeiro post de uma série, que vai discutir porque a nossa saúde depende da hemorreologia (viscoelasticidade do sangue) e da microcirculação, onde os tecidos e órgãos são nutridos e oxigenados.
This is the first post in a series, which will discuss why our health depends on hemorheology (blood viscoelasticity) and microcirculation, where tissues and organs are nourished and oxygenated.
Link para a Sociedade Portuguesa de Hemorreologia e Microcirculação
Link to the Portuguese Society of Hemorheology and Microcirculation

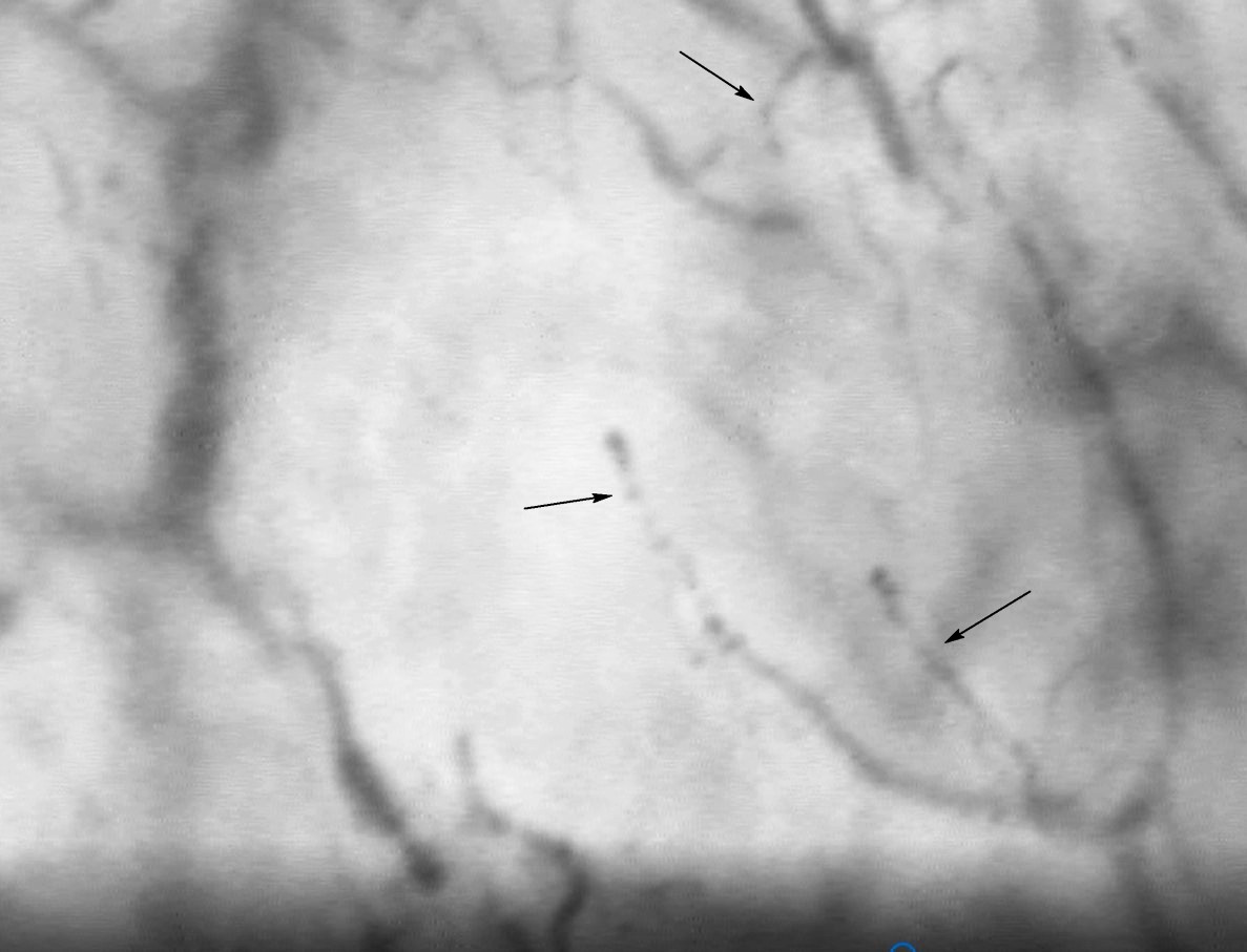
Microscopic image of sublingual blood vessels. The arrows point to erythrocytes (red blood cells) when passing through the microcirculation, where properties such as aggregation (when they are “stuck”) and deformability (when they become more rigid) interfere with blood viscosity.
Observação: O texto foi escrito em português brasileiro e em inglês
Continua em 2. A Microcirculação – Onde os tecidos e órgãos são nutridos e oxigenados
Continue to 2. The Microcirculation – The place of oxygenation and nutrition of organs and tissues
É necessário uma metodologia para monitorar a saúde.
Muito se fala em melhorar a saúde, mas ainda não está claro como medir isso. Nestes tempos de pandemia, o que tenho visto é o contrário do que seria melhorar a saúde: Alimentação repleta de carboidratos e doces, abuso de álcool e alimentos ultra-processados. Isto somado à vida sedentária, acaba sendo uma bomba-relógio prestes a explodir, se não for devido ao Covid-19, será por outra infecção, ou doenças cardiovasculares, ou diabetes, ou AVC e por aí vai. A falta de uma metodologia para medir a saúde, e a melhora ou piora dela, faz com que a aderência às estratégias para melhorar o estilo de vida acabem sendo abandonadas. Portanto é fundamental que estudemos fatores que pioram e melhoram a saúde, de maneira a monitorar sua promoção ou recuperação.
Os Hormônios Femininos
Como ginecologista, iniciei esse estudo com os hormônios (ou hormonas em português de Portugal) femininos. Sabia que o hormônio beta-estradiol protegia as mulheres, pois quando este hormônio declina na menopausa, iniciam-se os problemas de saúde como as doenças cardiovasculares. Também sabia que tanto o uso de pílulas anticoncepcionais como a reposição hormonal também pioravam a saúde, favorecendo doenças como a trombose, o câncer e as doenças cardiovasculares. Como acreditava que a causa da piora após a adição de hormônios artificieis fosse a estrutura bioquímica destes hormônios, comparamos quantidades crescentes de hormônios femininos naturais e artificiais adicionadas a sangue de homens. E descobrimos que o que alterava um dos fatores relacionados à viscosidade do sangue era a quantidade dos hormônios, sejam eles naturais ou artificiais, e não a qualidade dele, conforme este artigo publicado na revista Clinical Hemorheology and Microcircularion em 2018. Após finalizar esta pesquisa, os resultados sugeriram que o segredo da saúde ou da doença na menopausa estava relacionada com a viscosidade do sangue na microcirculação. Portanto estudar a piora ou melhora da saúde está diretamente relacionado à viscoelasticidade do sangue, cujo nome técnico é a Hemorreologia. Vamos falar sobre isso nos próximos posts.
A methodology is needed to monitor health.
Much is said about improving health, but it is not yet clear how to measure it. In these pandemic times, what I have seen is the opposite of what it would be to improve health: Food full of carbohydrates and sweets, alcohol abuse, and ultra-processed foods. Added to a sedentary life, ends up being a time bomb about to explode, if not due to Covid-19, it will be due to another infection, or cardiovascular disease, or diabetes, or stroke, and so on. The lack of a methodology to measure health, and the improvement or worsening of it, makes adherence to strategies to improve lifestyle end up being abandoned by patients. Therefore, it is essential that we study factors that worsen and improve health, in order to monitor their promotion or recovery.
The Female Hormones
As a gynecologist, I started this study with female hormones. I knew that the hormone beta-estradiol protected women because when this hormone declines at menopause, health problems like cardiovascular diseases start. He also knew that both the use of contraceptive pills and hormone replacement therapy also worsened health, favoring diseases such as thrombosis, cancer, and cardiovascular diseases. As I believed that the cause of the worsening after the addition of artificial hormones was the biochemical structure of these hormones, we compared increasing amounts of natural and artificial female hormones added to the blood of men. We found that what changed one of the factors related to blood viscosity was the amount of hormones, whether natural or artificial and not their quality, according to this article published in Clinical Hemorheology and Microcircularion in 2018. After finishing this research, the results suggested that the secret of health or disease in menopause was related to the viscosity of blood in the microcirculation. Therefore, studying the worsening or improvement of health is directly related to blood viscoelasticity, whose technical name is Hemorheology. We will talk about this in the next posts

In this research published in 2018, we found that both natural and synthetic female hormones (used in contraceptive pills and hormone replacement therapy) modified the deformability (stiffness) of red blood cells, depending on their concentration.
Paulo Luiz Farber, MD, PhD
Médico, formado em 1984 pela Faculdade de Medicina da Universidade de São Paulo (FMUSP). Residência Médica (1988) e Doutorado (1998) no Departamento de Obstetrícia e Ginecologia da FMUSP. Foi Professor do Programa de Pós-Graduação em Cirurgia Translacional (2007-2014). Atualmente é médico no Hospital da Luz de Aveiro, Secretário-Geral da Sociedade Portuguesa de Hemorreologia e Microcirculação e é investigador externo do Laboratório de Bioquímica do Instituto de Medicina Molecular da Faculdade de Medicina da Universidade de Lisboa, Portugal.
Medical doctor, obtained his degree in medicine (1984) from University of Sao Paulo Medical School. Medical residence (1988) and PhD in the Obstetrics and Gynecology Department of University of Sao Paulo Medical School. He was a professor of Postgraduate Program in Translational Surgery of Universidade Federal de São Paulo (2007-2014). Currently is a medical doctor at the Hospital da Luz de Aveiro, Secretary-General of Portuguese Society of Hemorheology and Microcirculation and external researcher of the Institute of Molecular Medicine, Institute of Biochemistry, Faculty of Medicine, University of Lisbon, Portugal.
Continua em 2. A Microcirculação – Onde os tecidos e órgãos são nutridos e oxigenados
Continue to 2. The Microcirculation – The place of oxygenation and nutrition of organs and tissues